首页
搜索
分类
账户
访客
登录
购物车
收藏 (
0
)
品牌
0
购物车
0
收藏
订单
报价
首页
联系我们
0
0
登录
联系我们
商店
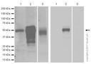
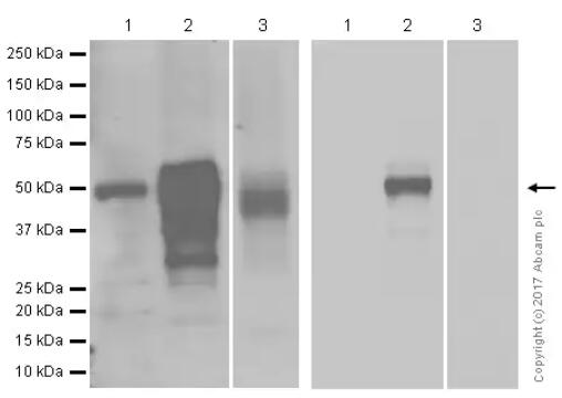
Anti-Wilms Tumor Protein antibody [CAN-R9(IHC)-56-2]
Anti-Wilms Tumor Protein antibody [CAN-R9(IHC)-56-2]
/shop/017-ab89901-100ul-anti-wilms-tumor-protein-antibody-can-r9-ihc-56-2-100-l-20928
期货待确认
¥
5,289.00
5289.0
CNY
¥
5,289.00
¥
5,289.00
此组合不存在。
加购物车
添加收藏
目录号:
ab89901
计量单位:
PC
商品规格:
100 µl
Abcam
分享商品:
Anti-Wilms Tumor Protein antibody [CAN-R9(IHC)-56-2]
¥
5,289.00
规格
无规格
这是用户近期浏览商品预览.
只要用户查看过一个商品这个片断就会显示.
×
近期浏览商品